Medical Annotation Services for Ophthalmology
In the field of ophthalmology, precision and early detection are paramount. Medical annotation services are revolutionizing how eye diseases are identified, diagnosed, and treated. Through sophisticated image annotation and AI labeling, ophthalmologists can now detect and treat eye conditions more effectively and efficiently.
Importance of Medical Annotation in Ophthalmology
Medical image annotation is vital in ophthalmology, especially for eye diseases. It involves labeling eye parts in images, like retinal scans, aiding in precise diagnosis and treatment. This technology helps detect early signs of eye diseases.
Ophthalmology Annotation Services
Ophthalmology annotation services enhance the accuracy of disease detection in the eye. By labeling specific areas in ophthalmic images, these services provide a clear map for ophthalmologists to understand and diagnose conditions accurately.
Ophthalmic Image Labeling
This process involves labeling different parts of the eye in medical images. The parts include the retina, cornea, and optic nerve. Ophthalmic image labeling helps in the precise identification of abnormalities, allowing for early intervention.
Retinal Image Annotation
Retinal image annotation is critical for detecting retinal diseases. With the help of AI, these services can pinpoint even the slightest deviations in the retina. These deviations are indicative of conditions like diabetic retinopathy or macular degeneration.
Medical Image Annotation for Eye Diseases
The importance of medical annotation in healthcare data management for eye diseases extends beyond retinal scanning. It includes the analysis of various eye conditions through detailed labeling of the eye’s internal and external structures.
Ophthalmology AI Labeling
AI-powered labeling in ophthalmology enhances the accuracy of disease detection. Ophthalmology AI labeling can learn from a vast array of images. This improves its ability to detect diseases earlier and more accurately.
Diabetic Retinopathy Annotation
This specific annotation type detects signs of diabetic retinopathy. It is a common condition in diabetic patients. Early detection through accurate annotation can prevent severe vision loss.
Macular Degeneration Labeling
Macular degeneration labeling is essential for identifying age-related changes in the macula, the central part of the retina. This helps in the early detection and treatment of this degenerative condition.
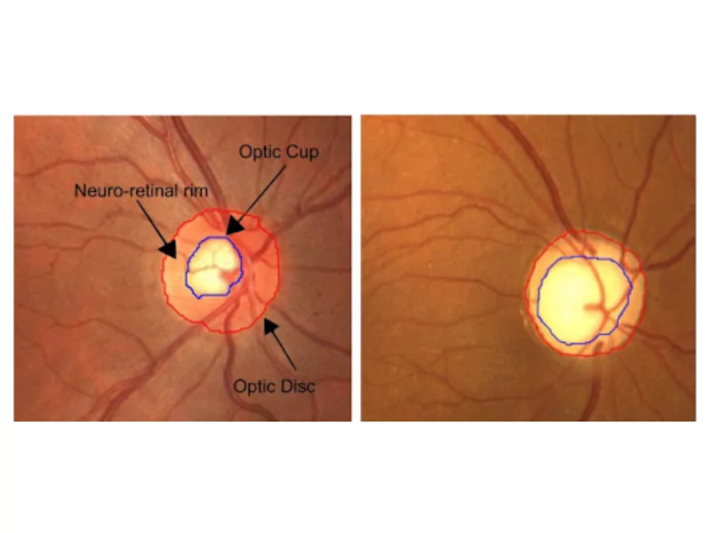
Glaucoma Image Annotation
Glaucoma image annotation focuses on detecting the early signs of glaucoma. Glaucoma is a condition that can lead to irreversible vision loss. By identifying changes in the optic nerve and eye pressure, this annotation aids in early intervention.
Why Choose Our Ophthalmology Annotation Services?
We provide precise marking for dental issues in helping patients. These are some of the reasons to choose us for medical annotation services for dentistry:

1000+
Trained Experts

95%+
Accuracy

50+
Happy Clients

450+
Successful Projects
Why Collaborate with Us?
Our services stand out because we are committed to precision, accuracy, and the latest AI technologies. We provide comprehensive medical annotation services tailored specifically to ophthalmology. And we ensure that every detail in an eye image is accurately labeled and analyzed.

Enhancing Diagnostic Accuracy
Our annotation services greatly enhance the accuracy of diagnosing eye diseases. We assist ophthalmologists by providing detailed, precise labels. This helps them identify diseases at their earliest stages.

Customized Solutions
We understand that each ophthalmology practice has unique needs. Our services are customizable to fit the specific requirements of your practice. We cater to general ophthalmology and specialized fields like retinal diseases.

AI-Powered Analysis
Our AI-powered analysis tools are trained on extensive datasets. This ensures they can accurately identify a wide range of eye conditions. This technology speeds up the diagnostic process. It also enhances its accuracy.

Supporting Telemedicine
In the era of telemedicine, our services are more relevant than ever. We enable ophthalmologists to diagnose and treat patients from a distance. We do this by providing accurate annotations remotely.









